Baço aumentado ou esplenomegalia
O aumento do baço, conhecido como esplenomegalia (ICD-10: R16.1), é um sintoma inespecífico que pode acompanhar doenças restritas ao baço ou ser consequência de disfunção de múltiplos órgãos.

A função do baço no corpo humano
O baço funciona como um grande reservatório de sangue e é o maior órgão linfático do corpo humano, embora não seja essencial para a vida. Em condições fisiológicas, sua massa não ultrapassa 150 gramas, dependendo da quantidade de sangue armazenado.
As dimensões normais do baço não devem ultrapassar: comprimento de 120 mm, largura de 70 mm e espessura de 40 mm. Pode haver um baço acessório no hilo esplênico — uma variação anatômica presente em até 11% da população. O baço aumentado pode ser palpável durante o exame físico quando seu tamanho excede 1,5 vez o normal e seu peso ultrapassa 300 gramas. Em casos de esplenomegalia maciça, o órgão pode ultrapassar 1000 gramas.
Outra característica do baço é sua suscetibilidade à ruptura subcapsular, ou ruptura em dois tempos, que pode ocorrer após um trauma abdominal, como em acidentes, e representar indicação para sua remoção. O aumento do baço também pode indicar trauma ou hematoma subcapsular. A classificação da esplenomegalia segue os cinco estágios definidos pela OMS
O hiperesplenismo é uma condição em que a esplenomegalia está associada à anemia e/ou leucopenia e/ou trombocitopenia.
Esplenomegalia — causas e sintomas
O baço aumentado provoca dor e sensação de distensão, geralmente no hipocôndrio esquerdo e na região mesogástrica. O aumento pode ser acompanhado por dor nas costas, azia, náuseas, vômitos, petéquias, perda de peso, fadiga, palidez, falta de ar e maior suscetibilidade a infecções.
A esplenomegalia pode estar associada a doenças de origem neoplásica, infecciosa, metabólica, imunológica ou por acúmulo de substâncias. Uma causa comum é a cirrose hepática. Frequentemente, o aumento do baço ocorre em conjunto com o aumento do fígado — condição chamada de hepatoesplenomegalia.
Na maioria dos casos, a esplenomegalia tem origem infecciosa, mas também pode ser um sinal de processos proliferativos, como tumores do sangue, do baço ou do sistema linfático (linfomas, leucemias, mielofibrose, granulomatose maligna).
Outras causas incluem infecções virais (citomegalovírus, mononucleose, hepatite), doenças bacterianas (doença de Lyme), parasitárias (equinococose), doenças autoimunes e sistêmicas (lúpus eritematoso, sarcoidose) e doenças de depósito metabólico (doença de Gaucher, doença de Pompe).
O baço também pode aumentar devido à trombose da veia porta ou da veia esplênica, bem como por metástases esplênicas ou tumores primários. Entre as lesões focais, cerca de metade são benignas, sendo o infarto esplênico o mais comum. As metástases esplênicas ocorrem em cerca de 7 a 8% dos pacientes com neoplasias malignas, especialmente cânceres de ovário, útero, mama e pulmão.
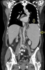
Baço aumentado – diagnóstico e tratamento
Além do exame físico, utilizam-se exames de imagem como ultrassonografia (USG), tomografia computadorizada (TC) ou ressonância magnética (RM) para o diagnóstico da esplenomegalia.
O tratamento depende da causa subjacente. Em alguns casos, pode ser necessária a esplenectomia (remoção do baço), como na púrpura trombocitopênica imune refratária (PTI).